
Achieve your aesthetic goals with state-of-the-art cosmetic dentistry!
Wouldn’t it be great if we were all lucky enough to be born with Hollywood smiles? Alas, this is the real world, and many of us are living day to day with troublesome teeth. But here’s the important thing to know: you are not stuck with a lackluster smile.
Cosmetic dentistry, focuses on improving the appearance of your smile. Cosmetic dentistry can improve your smile by:
- Professional-Strength Dental Whitening
- Dental Bonding
- Porcelain Veneers
- Same-Day CEREC® Crowns
- Tooth Contouring
- Dental Implants
- Teeth Whitening

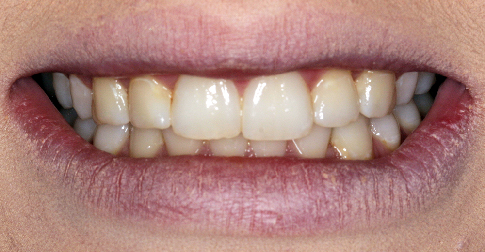
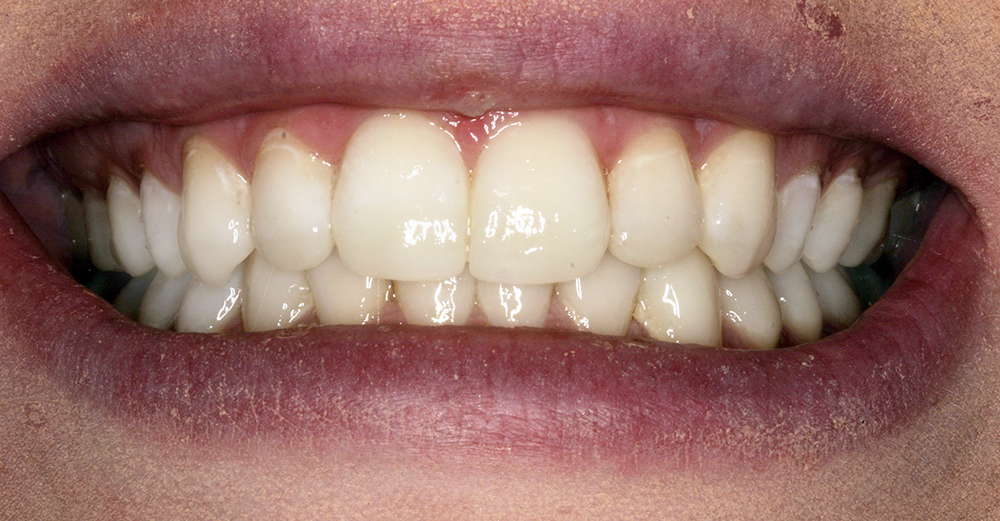
BEFORE

AFTER

BEFORE

AFTER
Benefits of Office Teeth Whitening
1. Immediate Results
One of the most significant advantages of office teeth whitening is the immediate results. Most patients see a noticeable improvement in the color of their teeth after just one treatment. This is particularly beneficial for individuals preparing for special occasions, such as weddings or job interviews.
2. Professional Supervision
Office teeth whitening is performed by trained dental professionals. This ensures that the procedure is conducted safely and effectively. Dentists can monitor the process, adjust the treatment as needed, and address any concerns that may arise during the procedure.
3. Reduced Risk of Sensitivity
Many office whitening products are designed to minimize tooth sensitivity. Dentists can also apply desensitizing agents before or after the treatment to help alleviate any discomfort.
4. Long-Lasting Results
While results may vary depending on individual habits and oral hygiene, office teeth whitening can provide long-lasting effects. Patients who maintain good oral hygiene and avoid staining foods and drinks can enjoy their brighter smile for months or even years.
